Monocyt

Z Encyklopedie zdravotní sestry
Přejít na: navigace, hledání
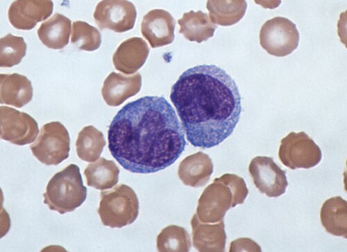
Monocyty pod světelným mikroskopem ze vzorky periferní krve obklopené erytrocyty.

Monocyty jsou typem leukocytů (bílých krvinek) a tvoří část vrozeného imunitního systému obratlovců včetně savců (i lidí), ptáků, plazů a ryb. Monocyty mají víc úkolů v imunitní funkci, například:

  • doplňují rezidentní makrofágy a dendritické buňky za normálního stavu
  • v reakci na zápalové signály, monocyty se mohou rychle pohybovat (přibližně 8-12 hodin) na místo infekce ve tkáních a dělit/diferencovat se do makrofágů a dendritických buněk na vyvolání imunitní reakce. Polovina z nich se nachází ve slezině. Monocyty se obvykle identifikují v mikroskopických vzorkách podle jejich velkého vrubovaného jádra ve tvaru ledviny.

Zdroj

http://en.wikipedia.org/wiki/Monocyte

Osobní nástroje